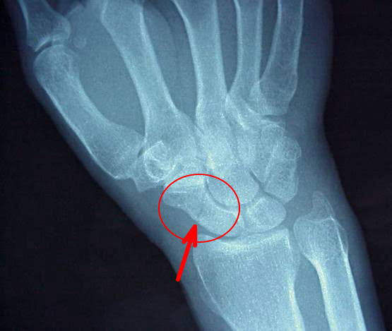
舟状骨は手関節にある8つの手根骨の1つで母指(親指)側にあり、手根骨の中でも重要な骨の1つで、船底のような彎曲をしているので船のような格好の骨ということで舟状骨と言います。
また、この舟状骨骨折は、見逃されやすい骨折として有名で、捻挫したと思ったまま放置しておくと、偽関節になることが多いのが特徴です。
舟状骨骨折には、いろいろな折れ方があり、最も多い骨折部分は、舟状骨の腰部と呼ばれるくびれた部分です。舟状骨は、指先の側から手首に向かって血行があるので、腰部に骨折が生じるとその中枢側の血行不全が生じやすい為、偽関節になりやすいです。
※偽関節とは、骨折した骨がつかず、関節のように動くものをいいます。
この骨折を放置してしまうと、折れた骨が壊死してしまい手術をしないと治らない場合がございますので、違和感がある場合はお気軽にご相談ください。










